水痘的7天演变过程都有哪些症状,水痘 替伏期、早期症状、出疹期三个时期,一般前两个时期没有明显症状,出水痘的是出疹期,这个时候会有七天左右的明显病症

水痘各时期病症
替伏期约为12~21天,均值14天。
2. 早期症状:
婴儿常无早期症状。
年老儿或成年人可有发热头痛、全身不适感及上呼吸道症状,1~2今后才出疹。
偶可出現前轮驱动疹。
3. 出疹期:
发热另外或1~2天之后出疹,具备下列特性:
(1)皮疹总数较多,百余至数千个不一。
(2)皮疹分次出現,同一位置由此可见斑疹、丘疹(丘疹生产译疫苗:高于皮肤的局限凸起,小如针管,大如大豆)、疱疹和结疤另外存有。
(3)先常见于躯体、头部,后延及全身。
其遍布呈向性情,以发际线、胸背较多,四肢脸部较少,手掌心脚底少许。
鼻、咽、口腔、私处等位置的粘膜也可以皮诊。
(4)皮疹常呈椭圆形,3~5mm,周边有淡红,疱疹浅部易破。
皮疹发展趋势快速,刚开始为红斑疹,数钟头内变成丘疹,再产生疱疹,疱疹时感皮肤骚痒,随后干结为痂,此全过程有时候只需6~8钟头,如无感染,1~2星期过后痂皮掉下来,一般没留疤痕。
(5)怀孕头三个月内感染水痘,可造成 胎宝宝先天畸型,称之为先天水痘综合征。
(6)当存有免疫功能缺点、凝血功能阻碍及继发性感染等原因时,常产生非典型水痘
① 皮疹结合者为大疱型,直徑达到2~7cm,易继发金葡菌感染和脓毒血症而身亡;
② 疱疹呈渗出性,皮下组织、黏膜有淤点为出血形,可伴随人体别的位置的流血;
③ 皮肤大面积坏死,全身食物中毒症状情况严重称之为坏死型;
④ 变病播散侵及内脏器官者称之为播散型,常见于免疫功能不高的病人。
水痘简介
1. 水痘是由水痘 - 带状疱疹病毒引起的急性传染病,会导致全身性斑疹、丘疹、疱疹及结痂等症状。
2. 儿童多见水痘病症,到一定阶段会自然停止或自愈。
3. 水痘可以飞沫传播,也可以通过患者的疱液或者被疱液污染过的物体传播,发烧症状到结痂期都属于传染期,为避免病毒传播需要在家休息,避免去公共场所。
4. 很多人天确实认为水痘是少年儿童的专享病症,实际上这类念头是错的,一切环节的群体都是有可能得了水痘,且其伤害是不大不小的。
5. 因此了解一些水痘在不一样环节的病症特性有益于尽早发觉生病,进而尽快获得医治。
那么,水痘在三个环节时的病症特性有什么呢?
水痘是有替伏期的,此刻的我们一般难以发觉水痘的存有。
殊不知在初期环节,我们的人体便会刚开始出現一些病症,这时候,我们可不必乱得出结论,认为是病了,进而让水痘进到出疹期的环节。
不论什么时候,针对人体的不适感我们必须多一份警醒,到医院体检获得确认才算是最安全性的个人行为。
1、第1~2天:水痘大多数刚开始时症状并不明显,有的会有低热、烦躁、头痛、咽痛、咳嗽、恶心、食欲减退等症状,如此持续1~2天后才出皮疹,出疹早期通常十分瘙痒,最初皮疹为红色斑疹,几小时后进展为深红色的丘疹。

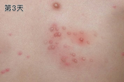
2、第3天:大概第3天形成表浅壁薄的疱疹。
疱疹液清澈,形状为单囊性卵圆形露珠样,疱疹周边有红晕,疱壁薄而易破。

3、第4~5天:疱液先为透明,后变混浊,开始破裂,疹液吸收而逐渐干枯,疱疹壁内陷,红晕也消失。

4、第5~7天:疱疹消退的部位变成痂疹,通常在1~2周后脱落,皮肤不留痕迹。

原因
水痘一般是由于水痘-带状疱疹病毒感染导致,主要要传播途径就是通过直接接触传染或是通过飞沫传染的。
水痘患者是该病最主要的传染源,所以接触水痘患者应该注意佩戴口罩。
水痘的并发症
1. 继发细菌感染:若因护理不当,皮肤不洁,或搔抓疱疹致其破溃,易继发细菌感染,常见如化脓性感染、蜂窝织炎、脓毒症等。
严重感染时可导致坏疽型水痘,皮肤大面积坏死,甚至因脓毒症而致死。
2. 肺炎:当并发肺炎时,可出现咳嗽和呼吸困难。
3. 脑炎:比较少见,可引起走路不稳、头痛、头晕、意识错乱和癫痫发作。
4. 肝炎:肝功检查提示丙氨酸氨基转移酶(ALT)升高,少数患者可伴发肝性脑病;
5. 雷耶综合征:可能会在出疹后 3-8 天出现,这是一种少见但非常严重的并发症,给患儿使用阿司匹林会增加这种综合征的发生风险。
6. 孕妇感染水痘后有可能会出现严重并发症,同时病毒还可通过胎盘感染胎儿。
妊娠不同阶段,病毒对胎儿的影响也不同。
在妊娠早期和中期,孕妇感染水痘,可引起胎儿先天性异常,主要表现为皮肤瘢痕形成、四肢发育不全、小头畸形等,被称为 “先天性水痘综合征”。
妊娠晚期感染水痘,不会导致胎儿发育异常,但可能导致早产或新生儿水痘感染。
水痘的预防方法
对于水痘的预防,最有效的预防方式是接种水痘疫苗。
疫苗名称:水痘减毒活疫苗
疫苗成分:主要成分为水痘 - 带状疱疹病毒减毒株,另含水解明胶、微量新霉素等。
接种方法:可单纯注射水痘减毒活疫苗或者与麻疹、腮腺炎及风疹疫苗联合注射,一般满 2 岁幼儿即可注射。
儿童及成人注射部位均为上臂皮下。
接种次数:12 岁以下儿童接种一单位剂量,为 0.5 ml;
13 岁及以上儿童注射两单位剂量,共 1.0 ml,应间隔 6~10 周间隔。
注射时间:推荐凡是没有水痘史的儿童、青少年及成年人均应接种。
副作用和不良反应:较少出现,主要是局部反应、低烧和轻度水痘皮疹。
注意事项:患有皮炎、化脓性皮肤病、严重湿疹的小儿不宜接种;
严重营养不良、严重佝偻病、先天性免疫缺陷的小儿不宜接种;
有哮喘、荨麻疹等过敏体质的小儿不宜接种。
水痘的症状及医治药物
水痘是由水痘-病毒引起的急性,典型症状包括性、发热、乏力等,治疗药物主要有阿昔洛韦片、炉甘石洗剂、盐酸西替利嗪片、对乙酰氨基酚口服溶液、重组人干扰素α2b喷雾剂。水痘具有高度传染性,患者需隔离至疱疹结痂。
1、阿昔洛韦片阿昔洛韦片是药物,能抑制水痘-带状疱疹复制,适用于免疫功能正常或低下的水痘患者。
该药可缩短病程并减轻症状严重程度,常见不良反应包括头痛、恶心。
使用期间需监测,孕妇及哺乳期妇女慎用。
2、炉甘石洗剂炉甘石洗剂为外用止痒剂,通过收敛作用缓解水痘疱疹引起的皮肤瘙痒。
使用时摇匀后涂抹于患处,每日可重复多次。
避免接触眼睛及黏膜破损处,若出现皮肤灼热感应立即停用。
该药不含激素,儿童患者可安全使用。
3、盐酸西替利嗪片盐酸西替利嗪片是第二代抗组胺药,能有效控制水痘伴随的过敏反应和剧烈瘙痒。
成人及6岁以上儿童均可使用,常见副作用为轻度嗜睡。
与中枢神经抑制剂合用时需谨慎,严重肝功能不全者应减量。
4、对乙酰氨基酚口服溶液对乙酰氨基酚口服溶液用于缓解水痘引起的发热和轻度疼痛,儿童剂型便于准确给药。
需严格按体重计算剂量,24小时内不超过5次给药。
长期大剂量使用可能导致肝损伤,服药期间禁止饮酒。
5、重组人干扰素α2b喷雾剂重组人干扰素α2b喷雾剂通过局部免疫调节作用抑制病毒扩散,适用于口腔黏膜或会阴部疱疹。
喷雾剂型可直接作用于患处,每日3-4次。
可能出现局部刺激反应,免疫功能亢进性疾病患者禁用。
水痘患者应保持皮肤清洁,剪短指甲避免抓挠引发感染。
穿着宽松棉质衣物减少摩擦,发热期间多饮水并进食易消化食物。
患病期间禁止使用阿司匹林退热以防瑞氏综合征。
所有药物均需在医生指导下使用,托幼机构或学校出现病例时应立即落实隔离措施,易感接触者可紧急接种水痘疫苗预防发病。
中度抑郁症有哪些症状表现
回答:中度抑郁症的治疗包括心理咨询、药物治疗和生活调整,其症状主要表现为情绪低落、兴趣减退和睡眠障碍。
1. 情绪低落:中度抑郁症患者常感到持续的悲伤、绝望或无价值感,这种情绪可能持续数周甚至更长时间。
患者可能对日常活动失去兴趣,难以集中注意力,甚至出现自责或内疚的情绪。
心理咨询中的认知行为疗法(CBT)可以帮助患者识别和改变负面思维模式,药物治疗如选择性5-羟色胺再摄取抑制剂(SSRIs)如氟西汀、舍曲林和帕罗西汀也能有效缓解症状。
2. 兴趣减退:患者对以往喜爱的活动失去兴趣,甚至对社交、工作或学习感到厌倦。
这种症状可能进一步导致社交孤立和功能下降。
行为激活疗法(BA)可以帮助患者重新参与有意义的活动,逐步恢复对生活的兴趣。
同时,适度运动如散步、瑜伽或游泳也能提升情绪,改善心理健康。
3. 睡眠障碍:中度抑郁症患者常伴随睡眠问题,可能表现为失眠、早醒或睡眠过多。
睡眠质量下降会进一步加重情绪低落和疲劳感。
改善睡眠习惯,如保持规律的作息时间、避免睡前使用电子设备,以及创造舒适的睡眠环境,都有助于缓解睡眠问题。
必要时,医生可能会开具助眠药物如唑吡坦或佐匹克隆。
中度抑郁症的症状复杂多样,但通过综合治疗和积极调整生活方式,患者可以有效缓解症状,逐步恢复健康。
如果症状持续或加重,建议及时就医,寻求专业帮助,确保获得科学、规范的治疗。
植物神经紊乱会有什么症状
回答:植物神经紊乱的症状包括心悸、出汗、头晕、胃肠不适等,治疗可通过药物、心理干预和生活方式调整。
植物神经紊乱是因自主神经系统功能失调引起的,常见于长期压力、焦虑或慢性疾病患者。
症状多样且因人而异,需根据具体情况采取个性化治疗。
1. 心悸是植物神经紊乱的常见症状之一,患者常感到心跳加快或不规则,可能与交感神经过度兴奋有关。
建议通过深呼吸练习、放松训练或服用β受体阻滞剂(如普萘洛尔)缓解症状。
2. 出汗异常也是典型表现,患者可能在无剧烈运动或高温环境下大量出汗,与自主神经调节失衡有关。
使用抗胆碱能药物(如奥昔布宁)或调整饮食(减少辛辣食物)可改善症状。
3. 头晕或眩晕感可能与血压波动或脑部供血不足有关,建议定期监测血压,必要时服用调节血压药物(如可乐定),同时避免突然站立或长时间低头。
4. 胃肠不适如恶心、腹胀、腹泻或便秘,与植物神经对消化系统的调节紊乱有关。
可通过饮食调整(增加纤维摄入、减少油腻食物)、服用胃肠动力药(如多潘立酮)或益生菌改善。
5. 睡眠障碍如失眠或早醒,可能与交感神经和副交感神经失衡有关。
建议建立规律作息,睡前避免使用电子设备,必要时服用镇静催眠药(如唑吡坦)。
6. 情绪波动如焦虑、抑郁或易怒,与植物神经紊乱对情绪中枢的影响有关。
心理治疗(如认知行为疗法)或抗焦虑药物(如阿普唑仑)可帮助缓解情绪问题。
植物神经紊乱的症状复杂多样,需结合药物治疗、心理干预和生活方式调整综合管理。
患者应避免过度劳累,保持情绪稳定,定期就医监测病情变化,必要时寻求专业医生的帮助,以获得更精准的治疗方案。
植物神经紊乱的症状有哪些表现
回答:植物神经紊乱的症状可以通过调整生活方式、心理疏导和药物治疗来缓解,其表现包括心悸、头晕、失眠、胃肠不适等,主要由精神压力、不良生活习惯或疾病引起。
改善睡眠质量、减少压力、适当运动是重要的干预措施,必要时可遵医嘱使用抗焦虑药物或调节神经功能的药物。
1. 心悸:植物神经紊乱可能导致心率异常,表现为心悸或心跳加速。
建议避免咖啡因和酒精,保持规律作息,必要时可服用β受体阻滞剂或抗焦虑药物如阿普唑仑。
2. 头晕:患者常感到头晕或头重脚轻,可能与血压波动或脑供血不足有关。
保持充足的水分摄入,避免长时间站立,可使用改善脑循环的药物如氟桂利嗪。
3. 失眠:植物神经紊乱常伴随入睡困难或睡眠质量差。
建议建立规律的睡眠习惯,睡前避免使用电子设备,可尝试褪黑素或中成药如安神补脑液。
4. 胃肠不适:患者可能出现胃痛、腹胀、腹泻或便秘等消化系统症状。
饮食上应避免辛辣刺激食物,少量多餐,可使用调节胃肠功能的药物如多潘立酮或益生菌。
5. 多汗:植物神经紊乱可能导致异常出汗,尤其在紧张或焦虑时。
保持皮肤清洁,穿透气衣物,可使用抗胆碱能药物如格隆溴铵。
6. 情绪波动:患者可能出现焦虑、抑郁或情绪不稳定。
建议进行心理疏导,练习深呼吸或冥想,必要时可服用抗抑郁药物如舍曲林。
7. 疲劳感:植物神经紊乱常伴随持续性的疲劳感。
保持适度运动,如散步或瑜伽,补充维生素B族,可使用改善疲劳的药物如辅酶Q10。
植物神经紊乱的症状多样,可能影响生活质量,但通过综合干预可有效缓解。
调整生活方式如规律作息、健康饮食、适度运动是基础,心理疏导和药物治疗可根据症状选择。
若症状持续或加重,应及时就医排查潜在疾病,制定个性化治疗方案,同时保持积极心态,避免过度焦虑,有助于恢复植物神经功能平衡。
长期酗酒突然戒酒有什么症状
回答:长期酗酒突然戒酒可能出现戒断综合征,表现为焦虑、失眠、震颤等症状,严重时甚至引发癫痫或幻觉。
戒断症状的严重程度与酗酒时间、饮酒量及个体差异有关。
治疗包括药物治疗、心理支持和生活方式调整。
1. 戒断症状的原因:长期酗酒会导致中枢神经系统对酒精产生依赖性,突然停止饮酒后,神经系统失去平衡,引发一系列生理和心理反应。
酒精抑制了神经递质的活性,戒酒后神经递质活动突然增强,导致过度兴奋。
2. 戒断症状的类型:轻度症状包括焦虑、失眠、手抖、出汗等;
中度症状可能涉及恶心、呕吐、心跳加速、血压升高;
严重症状包括癫痫发作、幻觉、谵妄等,后者可能危及生命。
3. 药物治疗:苯二氮卓类药物如地西泮可缓解焦虑和预防癫痫;
β受体阻滞剂如普萘洛尔有助于控制心率和血压;
抗癫痫药物如卡马西平可用于预防癫痫发作。
4. 心理支持:认知行为疗法帮助患者识别和改变与酒精相关的负面思维;
支持性心理治疗提供情感支持和应对策略;
家庭治疗改善家庭关系,增强支持系统。
5. 生活方式调整:逐步减少饮酒量,避免突然戒断;
保持规律作息,改善睡眠质量;
增加运动如散步、瑜伽,缓解焦虑和压力;
饮食上多摄入富含维生素B1的食物如全谷物、坚果,帮助修复神经系统。
6. 就医建议:如果出现严重戒断症状如癫痫、幻觉或谵妄,需立即就医,接受专业治疗和监护。
轻度症状可在医生指导下居家处理,但需定期复诊,评估恢复情况。
长期酗酒突然戒酒可能引发戒断综合征,需根据症状严重程度采取相应措施,包括药物治疗、心理支持和生活方式调整,严重症状需及时就医,确保安全过渡。
通过科学治疗和综合干预,戒酒者可以逐步恢复健康,降低复发风险。
怎么判断自己是不是焦虑症躯体化症状
回答:焦虑症躯体化症状的判断可以通过心理评估和身体检查相结合的方式确认。
患者常出现心悸、头痛、胃部不适等身体症状,但医学检查无明显异常,需通过专业心理评估工具如焦虑自评量表(SAS)和医生诊断来明确。
治疗方法包括药物治疗、心理治疗和生活方式调整。
1. 心理评估是判断焦虑症躯体化症状的关键。
常用的评估工具包括焦虑自评量表(SAS)和汉密尔顿焦虑量表(HAMA)。
这些量表通过一系列问题评估患者的焦虑程度,帮助医生判断是否存在焦虑症及其严重程度。
心理评估通常由专业心理医生或精神科医生进行,结合患者的病史和症状描述,能够更准确地诊断。
2. 身体检查是排除其他疾病的重要手段。
焦虑症躯体化症状常表现为心悸、头痛、胃部不适、肌肉紧张等,但这些症状也可能由其他身体疾病引起。
通过全面的身体检查,如心电图、血液检查、胃镜检查等,可以排除心脏病、消化系统疾病等潜在病因,确保诊断的准确性。
3. 药物治疗是缓解焦虑症躯体化症状的有效方法。
常用的药物包括选择性5-羟色胺再摄取抑制剂(SSRIs)如舍曲林、帕罗西汀,苯二氮卓类药物如阿普唑仑、氯硝西泮,以及β受体阻滞剂如普萘洛尔。
这些药物可以帮助缓解焦虑情绪和身体症状,但需在医生指导下使用,避免依赖和副作用。
4. 心理治疗是治疗焦虑症躯体化症状的核心方法。
认知行为疗法(CBT)是常用的心理治疗方法,通过改变患者的负面思维模式和行为习惯,帮助其应对焦虑情绪和身体症状。
其他心理治疗方法包括暴露疗法、正念疗法等,患者可以根据自身情况选择合适的治疗方法。
5. 生活方式调整对缓解焦虑症躯体化症状有积极作用。
规律的运动如散步、瑜伽、游泳等,可以帮助释放压力、改善情绪。
健康的饮食习惯如避免咖啡因、酒精等刺激性食物,增加富含维生素B和镁的食物,有助于缓解焦虑症状。
良好的睡眠习惯和放松技巧如深呼吸、冥想等,也能帮助减轻身体症状。
焦虑症躯体化症状的判断和治疗需要综合心理评估、身体检查、药物治疗、心理治疗和生活方式调整等多种方法。
通过专业的诊断和治疗,患者可以有效缓解症状,提高生活质量。
如果怀疑自己存在焦虑症躯体化症状,建议及时就医,寻求专业帮助。
又困又睡不着是什么症状
回答:又困又睡不着可能是睡眠障碍的表现,常见原因包括压力、生活习惯紊乱或潜在疾病,改善方法包括调整作息、放松训练和必要时就医。
睡眠障碍可能由多种因素引起,长期存在需引起重视。
1. 压力过大是现代人常见的睡眠问题诱因。
工作压力、家庭矛盾或经济负担会导致精神紧张,影响入睡。
建议通过冥想、深呼吸或瑜伽等方式缓解压力,必要时寻求心理咨询。
2. 生活习惯紊乱会打乱生物钟。
不规律的作息时间、睡前使用电子设备或摄入刺激性饮料都会影响睡眠质量。
建立固定的作息时间,睡前1小时避免使用手机,选择温和的放松活动如阅读或听轻音乐。
3. 潜在疾病可能是睡眠障碍的根源。
甲状腺功能异常、抑郁症或焦虑症都会导致又困又睡不着的症状。
如果症状持续两周以上,建议及时就医,进行相关检查如甲状腺功能检测或心理评估。
4. 环境因素也不容忽视。
卧室温度过高、光线过强或噪音干扰都会影响睡眠。
保持卧室温度在20-22℃,使用遮光窗帘,必要时使用耳塞或白噪音机创造安静环境。
5. 饮食不当也会影响睡眠质量。
睡前摄入过多咖啡因、酒精或高糖食物会干扰睡眠。
建议晚餐清淡,睡前2小时避免进食,可以适量饮用温牛奶或草本茶。
6. 运动习惯对睡眠有重要影响。
适度运动可以改善睡眠质量,但睡前3小时内剧烈运动反而会让人难以入睡。
建议选择晨间或下午进行30分钟的有氧运动,如快走、游泳或骑自行车。
7. 药物因素可能导致睡眠问题。
某些抗抑郁药、降压药或激素类药物会影响睡眠。
如果怀疑药物影响,应及时咨询医生,必要时调整用药方案。
8. 睡眠呼吸暂停综合征是常见的睡眠障碍。
打鼾、夜间呼吸暂停或白天嗜睡都是典型症状。
建议进行多导睡眠图检查,确诊后可采用持续气道正压通气治疗。
9. 不宁腿综合征也会导致睡眠困难。
腿部不适感、需要不断活动才能缓解会影响入睡。
建议进行铁代谢检查,必要时补充铁剂或使用多巴胺类药物。
10. 慢性疼痛是睡眠障碍的常见原因。
关节炎、背痛或偏头痛都会影响睡眠质量。
建议通过热敷、按摩或理疗缓解疼痛,必要时使用止痛药物。
又困又睡不着可能是多种因素共同作用的结果,需要综合考虑生理、心理和环境因素。
建立良好的睡眠习惯,调整生活方式,必要时寻求专业医疗帮助,才能有效改善睡眠质量,恢复健康的生活节奏。
如果症状持续或加重,应及时就医进行全面检查和治疗,避免发展为慢性失眠或其他严重健康问题。
有精神病表现,精神分裂的早期症状
回答:精神分裂的早期症状可能包括幻觉、妄想、情感淡漠和思维混乱等,及时就医和综合治疗是关键。
治疗通常包括药物治疗、心理治疗和社会支持,早期干预有助于改善预后。
1. 幻觉和妄想是精神分裂的常见早期症状。
幻觉通常表现为听到不存在的声音或看到不存在的景象,妄想则是坚持某些不真实或极端的信念。
这些症状可能与大脑神经递质失衡有关,尤其是多巴胺系统异常。
针对幻觉和妄想,医生通常会开具抗精神病药物,如奥氮平、利培酮和阿立哌唑,帮助调节神经递质水平,缓解症状。
2. 情感淡漠是精神分裂的另一个早期表现。
患者可能对日常活动失去兴趣,情感反应减弱,甚至对亲人的关心也显得冷漠。
这种症状可能与大脑前额叶功能异常有关。
心理治疗如认知行为疗法可以帮助患者重新建立情感连接,改善社交功能。
家庭支持也至关重要,家人应给予耐心和理解,避免过度施压。
3. 思维混乱也是精神分裂的早期信号。
患者可能出现语言表达不清、逻辑混乱或注意力难以集中等问题。
这通常与大脑额叶和颞叶功能失调有关。
药物治疗结合心理治疗是有效的干预手段。
例如,抗精神病药物如氯氮平可以改善思维混乱,而心理治疗如支持性疗法可以帮助患者梳理思路,提高沟通能力。
4. 社会功能下降是精神分裂早期的重要表现。
患者可能在学业、工作或人际关系中表现不佳,逐渐脱离社会。
这可能与大脑多区域功能失调有关。
综合治疗包括药物治疗、心理治疗和社会技能训练,帮助患者恢复社会功能。
社会支持网络如社区康复中心和职业培训项目也能提供实际帮助,促进患者重新融入社会。
精神分裂的早期症状多样,包括幻觉、妄想、情感淡漠和思维混乱等,及时就医和综合治疗是关键。
药物治疗如奥氮平、利培酮和阿立哌唑,心理治疗如认知行为疗法和支持性疗法,以及社会支持网络如家庭和社区康复中心,都是有效的干预手段。
早期干预不仅有助于缓解症状,还能显著改善患者的生活质量和社会功能。
家人和社会应给予患者充分的理解和支持,帮助他们积极面对疾病,早日康复。
游戏瘾最严重的症状如何改变
回答:游戏瘾最严重的症状可以通过心理干预、行为矫正和药物治疗逐步改善。
游戏成瘾的核心原因在于过度依赖虚拟世界,导致大脑奖赏系统失衡,心理依赖和行为习惯固化。
1. 心理干预是治疗游戏成瘾的重要手段。
认知行为疗法帮助患者识别和改变对游戏的错误认知,例如认为游戏是唯一获得成就感的方式。
心理治疗师通过引导患者探索现实生活中的兴趣和目标,逐步减少对游戏的依赖。
家庭治疗也至关重要,家人可以通过理解和支持,帮助患者建立健康的生活模式。
2. 行为矫正通过制定明确的规则和计划,逐步减少游戏时间。
设定每日游戏时长限制,并严格执行。
使用手机或电脑的家长控制功能,限制游戏访问时间。
同时,鼓励患者参与替代活动,如运动、阅读或社交活动,转移注意力,培养新的兴趣爱好。
3. 药物治疗在严重情况下可作为辅助手段。
抗抑郁药物如氟西汀、舍曲林可以缓解因游戏成瘾引发的焦虑和抑郁情绪。
多巴胺受体调节剂如阿立哌唑有助于平衡大脑奖赏系统,减少对游戏的渴望。
药物治疗需在专业医生指导下进行,避免副作用。
4. 环境调整对戒除游戏瘾至关重要。
减少接触游戏设备和相关内容的频率,例如卸载游戏软件、取消游戏订阅。
营造支持性的家庭和社会环境,鼓励患者参与集体活动,增强现实生活中的社交互动。
5. 自我管理是长期康复的关键。
患者可以通过制定每日计划,合理安排时间,避免长时间沉迷游戏。
记录游戏时间和感受,分析成瘾原因,逐步调整行为模式。
寻求专业帮助,定期与心理医生沟通,确保治疗效果的持续性。
游戏瘾的改善需要多方面的综合干预,包括心理治疗、行为矫正、药物治疗和环境调整。
通过逐步减少对游戏的依赖,培养健康的生活习惯,患者可以逐步恢复正常的心理和行为状态。
坚持治疗和自我管理是成功戒除游戏瘾的关键。
忧郁症的症状有哪些表现
回答:忧郁症的症状主要表现为情绪低落、兴趣丧失、精力减退等。
治疗包括药物治疗、心理治疗和生活方式调整,具体方法有使用抗抑郁药物、认知行为疗法和增加运动等。
1. 情绪低落是忧郁症的核心症状,患者常感到持续的悲伤、空虚或绝望,甚至对日常活动失去兴趣。
这种情绪可能伴随自责、无价值感或过度的内疚感。
对于情绪低落,心理治疗如认知行为疗法可以帮助患者识别和改变负面思维模式,药物治疗如选择性5-羟色胺再摄取抑制剂(SSRIs)也能有效缓解症状。
2. 兴趣丧失表现为对以往喜欢的活动失去兴趣,患者可能不再参与社交活动、爱好或工作。
这种情况下,逐步恢复日常活动和设定小目标可以帮助患者重新找到生活的乐趣。
心理治疗中的行为激活疗法可以鼓励患者参与积极的活动,改善情绪。
3. 精力减退是忧郁症的常见表现,患者可能感到疲劳、无力,甚至简单的日常任务都难以完成。
增加体力活动和改善睡眠质量有助于提升精力。
运动如散步、瑜伽或游泳可以促进内啡肽的分泌,改善情绪和体力。
4. 睡眠问题也是忧郁症的常见症状,患者可能出现失眠、早醒或过度睡眠。
调整睡眠环境、建立规律的作息时间和避免睡前使用电子设备可以改善睡眠质量。
必要时,医生可能会开具助眠药物。
5. 食欲变化在忧郁症患者中也很常见,可能导致体重显著增加或减少。
保持均衡饮食和规律进餐时间有助于稳定食欲。
营养师建议增加富含Omega-3脂肪酸的食物,如鱼类和坚果,有助于改善情绪。
6. 注意力难以集中和决策困难是忧郁症的认知症状,患者可能感到思维迟缓、记忆力下降。
通过认知训练和分阶段完成任务可以提高注意力。
心理治疗中的正念疗法可以帮助患者提高专注力。
7. 自杀念头是忧郁症最严重的症状,患者可能反复出现死亡或自杀的想法。
这种情况下,立即寻求专业帮助至关重要。
心理危机干预和紧急药物治疗可以有效预防自杀行为。
忧郁症的症状多种多样,早期识别和综合治疗是关键。
通过药物治疗、心理治疗和生活方式调整,患者可以有效缓解症状,改善生活质量。
如果您或身边的人出现上述症状,请及时寻求专业帮助。
忧郁症的表现症状有哪些
回答:忧郁症的主要表现症状包括持续的情绪低落、兴趣丧失和精力减退,可通过心理治疗、药物治疗和生活方式调整进行干预。
忧郁症的症状多种多样,具体表现因个体差异而有所不同,但通常包括情绪、认知和生理方面的变化。
情绪上,患者会感到持续的悲伤、空虚或绝望,对日常活动失去兴趣,甚至对曾经喜欢的活动也提不起劲。
认知上,可能出现注意力不集中、记忆力下降、决策困难,甚至反复出现消极或自杀的念头。
生理上,常见症状包括睡眠障碍(失眠或过度睡眠)、食欲改变(暴饮暴食或食欲不振)、体重波动、疲劳感、身体疼痛(如头痛或背痛)以及性欲减退。
1. 情绪症状:忧郁症患者通常会体验到持续的情绪低落,这种情绪可能持续数周甚至数月。
他们可能会感到无助、无望,甚至对生活失去信心。
情绪波动大,容易因小事感到沮丧或愤怒。
这种情绪状态不仅影响患者的心理健康,还可能对人际关系和工作表现产生负面影响。
2. 认知症状:忧郁症患者的认知功能可能受到显著影响。
他们可能会出现注意力不集中、记忆力下降、思维迟缓等问题。
决策能力下降,甚至对日常生活中的小事也难以做出决定。
部分患者还会出现反复的消极思维,甚至产生自杀的念头。
这些认知症状会进一步加重患者的情绪困扰,形成恶性循环。
3. 生理症状:忧郁症不仅影响心理状态,还会对身体健康产生广泛影响。
患者可能会出现睡眠障碍,如失眠、早醒或过度睡眠。
食欲改变也是常见症状,有些人可能会暴饮暴食,导致体重增加;
而另一些人则可能食欲不振,导致体重下降。
此外,患者还常常感到疲劳、乏力,即使休息后也难以恢复精力。
身体疼痛,如头痛、背痛或肌肉酸痛,也可能与忧郁症相关。
性欲减退或性功能障碍也是常见的生理症状。
4. 社会功能受损:忧郁症患者的社交功能通常也会受到影响。
他们可能会回避社交活动,与家人、朋友的关系变得疏远。
工作或学习效率下降,甚至可能无法正常完成日常任务。
这种社会功能的受损不仅影响患者的生活质量,还可能加重其孤独感和无助感。
5. 其他症状:部分忧郁症患者还可能出现焦虑、恐慌、强迫症等共病症状。
这些症状与忧郁症相互作用,进一步加重患者的心理负担。
此外,儿童和青少年患者可能表现出与成人不同的症状,如易怒、行为问题或学业成绩下降。
忧郁症是一种复杂的心理疾病,其症状涉及情绪、认知、生理和社会功能等多个方面。
早期识别和干预对于改善患者的预后至关重要。
通过心理治疗、药物治疗和生活方式调整,可以有效缓解忧郁症症状,帮助患者恢复健康。
如果您或身边的人出现上述症状,建议及时寻求专业帮助,以便获得科学、有效的治疗和支持。
抑郁症有什么症状和表现
回答:抑郁症的治疗方法包括药物治疗、心理治疗和生活方式调整,其症状和表现主要涉及情绪低落、兴趣丧失、睡眠障碍等方面。
抗抑郁药物如氟西汀、舍曲林和帕罗西汀可调节脑内神经递质平衡;
心理治疗如认知行为疗法、人际关系疗法和正念疗法有助于改善思维模式;
生活方式调整如规律运动、均衡饮食和充足睡眠对缓解症状有积极作用。
抑郁症的症状和表现包括持续的情绪低落、对日常活动失去兴趣、睡眠问题、食欲改变、疲劳感、注意力难以集中、自我价值感降低、反复出现死亡或自杀的念头。
这些症状可能由遗传因素、环境压力、生理变化或心理创伤等多种原因引起。
情绪低落表现为长时间感到悲伤、空虚或无望;
兴趣丧失则是对以往喜爱的活动失去热情;
睡眠障碍可能表现为失眠或过度睡眠;
食欲改变可能导致体重显著增加或减少;
疲劳感使患者即使休息后仍感到精力不足;
注意力难以集中影响工作和学习效率;
自我价值感降低表现为过度自责或无用感;
反复出现死亡或自杀的念头是抑郁症最严重的表现之一。
遗传因素可能增加患病风险,环境压力如失业、离婚或亲人去世可能诱发抑郁症,生理变化如激素水平波动或慢性疾病可能影响情绪调节,心理创伤如童年虐待或重大事故可能导致长期心理阴影。
抑郁症的治疗需要综合考虑药物、心理和生活方式的干预,早期识别和积极治疗对改善预后至关重要,患者应寻求专业帮助并坚持治疗,家属和社会支持也对康复起到重要作用。
抑郁症有哪些症状表现
回答:抑郁症的主要症状包括持续的情绪低落、兴趣丧失和精力减退,治疗需结合心理干预和药物管理。
抑郁症的症状可从情绪、认知、行为和生理四个方面进行观察。
情绪方面,患者常感到悲伤、空虚或绝望,情绪波动大且难以控制。
认知方面,注意力难以集中,记忆力下降,自我评价低,甚至出现自责和无价值感。
行为方面,患者可能减少社交活动,对日常活动失去兴趣,工作效率下降,严重时可能出现自残或自杀行为。
生理方面,常见睡眠障碍,如失眠或过度睡眠,食欲改变,体重波动,身体疲劳和疼痛感增加。
治疗抑郁症的方法包括药物治疗、心理治疗和生活方式调整。
药物治疗常用抗抑郁药,如选择性5-羟色胺再摄取抑制剂(SSRIs)、5-羟色胺和去甲肾上腺素再摄取抑制剂(SNRIs)和三环类抗抑郁药(TCAs)。
心理治疗包括认知行为疗法(CBT)、人际心理治疗(IPT)和正念疗法。
生活方式调整建议增加规律运动,如散步、瑜伽,保持均衡饮食,增加富含Omega-3脂肪酸的食物,如鱼类和坚果,建立良好的睡眠习惯。
抑郁症是一种复杂的心理疾病,早期识别和综合治疗对改善患者生活质量至关重要,建议患者及家属积极配合治疗,及时寻求专业帮助。
抑郁症严重的表现症状有哪些
回答:抑郁症严重时可能出现持续的极度悲伤、兴趣丧失、自杀念头等症状,需及时就医并接受心理治疗和药物治疗。
严重抑郁症的表现包括情绪低落、思维迟缓、睡眠障碍、食欲改变、体重波动、疲劳感、注意力不集中、自我否定、自责、无助感、绝望感、反复出现死亡或自杀的念头。
这些症状可能持续两周以上,严重影响日常生活和工作。
1. 情绪低落是严重抑郁症的核心症状,患者可能感到极度的悲伤、空虚或绝望,甚至无法感受到任何快乐或满足感。
这种情绪低落通常持续存在,不受外界环境影响,患者可能表现出哭泣、易怒或情绪波动。
2. 思维迟缓和注意力不集中也是常见症状,患者可能感到思维变得缓慢、难以集中注意力或做出决策。
这种认知功能的下降可能导致工作效率降低、记忆力减退和日常任务难以完成。
3. 睡眠障碍和食欲改变是抑郁症的生理表现,患者可能出现失眠、早醒或过度睡眠,同时食欲可能显著增加或减少,导致体重波动。
这些生理变化可能进一步加剧情绪低落和疲劳感。
4. 自我否定、自责和无助感是抑郁症的心理特征,患者可能对自己产生强烈的负面评价,感到自己毫无价值或对他人造成负担。
这种心理状态可能导致患者陷入绝望,甚至产生自杀念头。
5. 反复出现死亡或自杀的念头是严重抑郁症的危险信号,患者可能频繁想到死亡、自杀或制定自杀计划。
这种症状需要立即就医,接受专业的心理治疗和药物治疗。
严重抑郁症的治疗包括心理治疗和药物治疗,心理治疗如认知行为疗法、人际疗法和心理动力学疗法可以帮助患者调整负面思维模式、改善人际关系和处理情感问题。
药物治疗如选择性5-羟色胺再摄取抑制剂(SSRIs)、5-羟色胺和去甲肾上腺素再摄取抑制剂(SNRIs)和三环类抗抑郁药(TCAs)可以调节大脑化学物质,缓解抑郁症状。
此外,生活方式的调整如规律作息、健康饮食、适度运动和社交活动也有助于改善抑郁症状。
严重抑郁症需要及时就医,接受综合治疗,以恢复心理健康和生活质量。
抑郁症开始有什么症状
回答:抑郁症的早期症状包括情绪低落、兴趣减退和精力不足,治疗可通过心理治疗、药物治疗和生活方式调整。
抑郁症的早期表现常为持续的情绪低落,对日常活动失去兴趣,感到疲劳和无力。
心理治疗如认知行为疗法和人际治疗,药物治疗如选择性5-羟色胺再摄取抑制剂和三环类抗抑郁药,生活方式调整如规律作息和适度运动。
1. 情绪低落是抑郁症的常见早期症状,患者可能感到持续的悲伤、无助或绝望。
这种情绪低落通常持续两周以上,且与日常生活中的压力事件不成比例。
患者可能对以往感兴趣的活动失去兴趣,感到生活无意义。
情绪低落可能伴随睡眠障碍、食欲改变和注意力难以集中。
2. 兴趣减退表现为对以往喜欢的活动失去兴趣,患者可能不再参与社交活动或爱好。
这种兴趣减退可能导致社交孤立和人际关系恶化。
患者可能感到生活缺乏动力和目标,对未来感到悲观。
兴趣减退可能伴随自我评价降低和自责感。
3. 精力不足是抑郁症的另一个早期症状,患者可能感到持续的疲劳和无力。
这种精力不足可能影响日常生活和工作效率,导致完成任务困难。
患者可能感到身体沉重,行动迟缓。
精力不足可能伴随睡眠过多或失眠,影响整体生活质量。
4. 心理治疗是抑郁症的重要治疗手段,认知行为疗法帮助患者识别和改变负面思维模式,人际治疗关注改善人际关系。
心理治疗通常需要多次会谈,患者需要积极参与治疗过程。
心理治疗可以帮助患者建立应对策略,提高情绪管理能力。
5. 药物治疗在抑郁症治疗中起重要作用,选择性5-羟色胺再摄取抑制剂如氟西汀和舍曲林,三环类抗抑郁药如阿米替林和氯米帕明。
药物治疗需要在医生指导下进行,患者需要定期复诊评估疗效和副作用。
药物治疗可以帮助缓解症状,改善情绪状态。
6. 生活方式调整对抑郁症治疗有积极影响,规律作息有助于稳定情绪,适度运动如散步和瑜伽可以缓解压力。
健康饮食如富含omega-3脂肪酸的食物和全谷物,有助于改善情绪。
生活方式调整需要长期坚持,患者可以逐步建立健康的生活习惯。
抑郁症的早期症状需要及时识别和治疗,通过心理治疗、药物治疗和生活方式调整,患者可以有效缓解症状,改善生活质量。
及早寻求专业帮助,建立健康的生活习惯,有助于抑郁症的康复和预防复发。
抑郁症焦虑症的表现症状
回答:抑郁症和焦虑症的表现症状包括情绪低落、持续焦虑、睡眠障碍等,治疗方式包括心理治疗、药物治疗和生活方式调整。
抑郁症的核心症状为持续的情绪低落、兴趣丧失,可能伴有自责、无助感,严重时出现自杀倾向;
焦虑症则表现为过度的担忧、紧张,常伴有心悸、出汗等躯体症状。
心理治疗如认知行为疗法(CBT)可帮助患者调整负面思维,药物治疗包括选择性5-羟色胺再摄取抑制剂(SSRIs)如氟西汀、舍曲林,以及苯二氮卓类药物如阿普唑仑。
生活方式上,规律运动如慢跑、瑜伽,以及健康饮食如富含Omega-3脂肪酸的食物,均有助于缓解症状。
若症状严重或持续,应及时就医寻求专业帮助。
1. 情绪低落是抑郁症的核心表现,患者可能感到持续的悲伤、空虚,对日常活动失去兴趣,甚至无法体验快乐。
这种情绪状态可能持续数周或更长时间,影响工作、学习和人际关系。
2. 焦虑症的主要特征是过度的担忧和紧张,患者常对未来可能发生的负面事件感到恐惧,并伴有心悸、出汗、呼吸急促等躯体症状。
这种焦虑感通常难以控制,且与实际威胁不成比例。
3. 睡眠障碍是抑郁症和焦虑症的常见伴随症状,患者可能出现失眠、早醒或睡眠过多。
睡眠质量下降会进一步加重情绪问题,形成恶性循环。
4. 自责和无助感在抑郁症患者中较为普遍,患者可能过度责备自己,认为自己是问题的根源,同时感到无力改变现状。
这种思维模式会增加心理负担,加剧抑郁症状。
5. 自杀倾向是抑郁症的严重表现,患者可能产生自杀念头或计划,甚至尝试自杀。
这是需要立即干预的紧急情况,家人和朋友应密切关注患者的情绪变化。
6. 躯体症状在焦虑症中较为突出,患者可能感到肌肉紧张、头痛、胃部不适等,这些症状与焦虑情绪相互作用,进一步加重患者的痛苦。
7. 认知行为疗法(CBT)是一种有效的心理治疗方法,通过帮助患者识别和改变负面思维模式,减轻抑郁和焦虑症状。
CBT通常包括认知重构和行为激活两个核心部分。
8. 选择性5-羟色胺再摄取抑制剂(SSRIs)如氟西汀、舍曲林是治疗抑郁症和焦虑症的常用药物,通过增加大脑中的5-羟色胺水平,改善情绪和焦虑症状。
9. 苯二氮卓类药物如阿普唑仑可用于短期缓解焦虑症状,但长期使用可能导致依赖,因此需在医生指导下谨慎使用。
10. 规律运动如慢跑、瑜伽有助于释放压力,促进大脑分泌内啡肽,改善情绪和焦虑症状。
每周至少进行150分钟的中等强度运动,可显著提升心理健康水平。
11. 健康饮食如富含Omega-3脂肪酸的食物(如三文鱼、核桃)有助于调节大脑功能,减轻抑郁和焦虑症状。
同时,减少咖啡因和酒精摄入,避免加重焦虑情绪。
12. 若症状严重或持续,应及时就医寻求专业帮助。
精神科医生或心理治疗师可根据患者的具体情况,制定个性化的治疗方案,帮助患者恢复健康。
抑郁症和焦虑症的表现症状多样,治疗需结合心理治疗、药物治疗和生活方式调整,若症状严重或持续,应及时就医寻求专业帮助,早期干预可显著提高治疗效果和生活质量。
抑郁症患者有哪些症状
回答:抑郁症患者的主要症状包括情绪低落、兴趣丧失、睡眠障碍、食欲改变、疲劳感、注意力难以集中、自我评价过低、反复出现死亡或自杀的念头等。
治疗抑郁症通常需要结合药物治疗、心理治疗和生活方式调整,以帮助患者恢复情绪平衡和生活功能。
1. 情绪低落是抑郁症的核心症状,患者可能长时间感到悲伤、空虚或绝望,这种情绪可能持续数周甚至更长时间。
心理治疗如认知行为疗法(CBT)和药物治疗如选择性5-羟色胺再摄取抑制剂(SSRIs)可以帮助改善情绪状态。
2. 兴趣丧失表现为对以往感兴趣的活动失去兴趣,甚至对日常生活也感到无趣。
鼓励患者参与轻度运动如散步或瑜伽,以及社交活动,有助于逐步恢复兴趣。
3. 睡眠障碍包括失眠或过度睡眠,可能影响患者的日常生活和情绪状态。
建立规律的睡眠习惯、避免咖啡因和电子设备的使用,以及使用助眠药物如苯二氮卓类药物,可以改善睡眠质量。
4. 食欲改变可能导致体重显著增加或减少,影响患者的身体健康。
营养均衡的饮食和定时进餐,以及心理治疗如正念饮食,可以帮助调节食欲。
5. 疲劳感是抑郁症患者常见的症状,即使休息后也难以缓解。
适度的运动如游泳或骑自行车,以及保证充足的睡眠,可以减轻疲劳感。
6. 注意力难以集中可能影响患者的工作和学习效率。
时间管理和任务分解技巧,以及使用注意力训练软件,可以提高注意力水平。
7. 自我评价过低可能导致患者感到无价值或过度自责。
心理治疗如心理动力学治疗和自我肯定训练,可以帮助提升自我评价。
8. 反复出现死亡或自杀的念头是抑郁症的严重症状,需要立即就医。
紧急心理干预和药物治疗如抗抑郁药,以及建立安全的环境,是处理这一症状的关键。
抑郁症的治疗需要综合考虑患者的具体症状和个体差异,通过药物治疗、心理治疗和生活方式调整,帮助患者逐步恢复情绪平衡和生活功能。
患者应积极配合治疗,定期复诊,并在日常生活中保持良好的生活习惯和心理状态,以促进康复。
抑郁症发病的表现症状
回答:抑郁症的发病症状包括情绪低落、兴趣减退、睡眠障碍等,需及时就医并采取心理治疗、药物治疗等综合干预措施。
抑郁症是一种常见的精神疾病,其发病症状多样且复杂,了解这些症状有助于早期识别和干预。
1. 情绪低落是抑郁症的核心症状之一,患者常感到持续的悲伤、无助或绝望,这种情绪状态可能持续数周甚至更长时间。
部分患者可能表现出对日常活动失去兴趣,即使是曾经喜欢的活动也提不起兴致。
情绪低落还可能伴随自责、无价值感,甚至出现自杀念头。
2. 睡眠障碍在抑郁症患者中较为常见,包括入睡困难、早醒或睡眠过多。
睡眠质量的下降会进一步加剧患者的情绪问题,形成恶性循环。
部分患者可能出现食欲改变,表现为食欲减退或暴饮暴食,进而导致体重明显波动。
3. 认知功能受损也是抑郁症的典型表现,患者可能出现注意力不集中、记忆力下降、决策困难等问题。
这些症状不仅影响日常生活,还可能对工作和学习造成严重影响。
部分患者还可能表现出思维迟缓、言语减少,甚至出现幻觉或妄想等严重症状。
4. 躯体症状在抑郁症患者中并不少见,包括头痛、背痛、胃部不适等。
这些症状往往没有明确的器质性原因,但会给患者带来极大的痛苦。
部分患者可能出现疲劳、乏力,即使休息后也难以缓解。
5. 社交退缩是抑郁症患者常见的表现之一,患者可能逐渐减少与他人的接触,甚至完全回避社交活动。
这种退缩行为会进一步加剧患者的孤独感和无助感,形成恶性循环。
部分患者还可能表现出易怒、烦躁,甚至对他人产生敌意。
抑郁症的发病症状复杂多样,需通过心理治疗、药物治疗等综合手段进行干预。
心理治疗包括认知行为疗法、人际心理治疗等,帮助患者调整认知模式、改善人际关系。
药物治疗则包括选择性5-羟色胺再摄取抑制剂、三环类抗抑郁药等,需在医生指导下使用。
生活方式的调整也至关重要,如规律作息、适度运动、均衡饮食等,有助于改善症状。
抑郁症是一种可治疗的疾病,早期识别和干预至关重要,患者及家属应积极寻求专业帮助,避免病情进一步恶化。
抑郁症的症状有哪些表现
回答:抑郁症的主要症状包括持续的情绪低落、兴趣丧失、睡眠障碍和食欲改变等,需通过心理治疗、药物治疗和生活方式调整进行干预。
抑郁症是一种常见的精神疾病,症状多样且可能影响日常生活,早期识别和治疗至关重要。
1. 情绪低落是抑郁症的核心症状,患者常感到悲伤、绝望或空虚,这种情绪持续至少两周,且难以通过日常活动缓解。
这种低落情绪可能与大脑神经递质(如5-羟色胺、多巴胺)的失衡有关。
2. 兴趣丧失表现为对以往喜爱的活动失去兴趣,甚至对社交、工作或学习产生厌倦感。
这种症状可能影响患者的社交功能和职业表现,进一步加重心理负担。
3. 睡眠障碍是抑郁症的常见表现,包括失眠、早醒或过度睡眠。
失眠可能导致患者白天疲劳、注意力不集中,而过度睡眠则可能加重情绪低落和精力不足。
4. 食欲改变表现为食欲减退或暴饮暴食,可能导致体重明显变化。
食欲减退可能与胃肠功能紊乱有关,而暴饮暴食则可能是患者试图通过食物缓解情绪。
5. 精力不足和疲劳感是抑郁症的常见症状,患者常感到身体沉重、行动迟缓,甚至完...
6个月婴儿得水痘多长时间才能好
6个月水痘通常需要7-14天痊愈,具体恢复时间与严重程度、发生情况、免疫状态、护理措施、治疗干预等因素相关。1、皮疹分期:水痘皮疹经历红斑期、丘疹期、水疱期、结痂期四个阶段,全程约5-7天。
婴儿皮肤娇嫩,可能出现新旧皮疹交替出现现象,导致病程延长至10天以上。
皮疹数量越多,恢复时间相对越长。
2、并发症影响:继发皮肤感染会延长病程2-3天,需配合治疗。
肺炎或脑炎等严重并发症需住院治疗,恢复期可能延长至3周。
密切监测体温变化与精神状态,出现持续高热或嗜睡需立即就医。
3、免疫状态:母体抗体水平低的婴儿症状更显著,6月龄婴儿免疫系统未完善,病毒清除速度较慢。
早产儿或营养不良患儿可能需额外2-3天恢复期。
母乳喂养可提供被动免疫支持。
4、护理措施:保持皮肤清洁干燥可加速结痂脱落,每日温水擦浴避免使用肥皂。
剪短指甲并佩戴棉质手套防止抓挠。
穿着宽松纯棉衣物减少摩擦,室内温度维持在24-26℃为宜。
5、治疗干预:抗病毒药物在发病24小时内使用可缩短病程1-2天。
炉甘石洗剂缓解瘙痒,继发感染时外用莫匹罗星软膏。
避免使用阿司匹林等退热药,选择对乙酰氨基酚控制体温。
患病期间保持居室通风,每日更换消毒床品。
母乳喂养者母亲需补充维生素C与锌元素,配方奶喂养可选择低敏配方。
恢复期避免接触孕妇与未接种疫苗儿童,皮疹完全结痂前具有传染性。
痊愈后需观察2周确认无并发症,按计划补种水痘疫苗。
适当增加维生素A、D补充促进皮肤修复,暂缓添加新辅食直至完全康复。
婴儿腿抖动正常吗
回答:考量是由于神经系统的生长发育尚不改进,压制肌肉的功能还不健全,所以是会再次出现不无限制的,颤动是属于一种正常的身理现象,是绝不会影响到宝宝的智力生长发育,随着年龄的增涨,大脑生长发育不断的改进之后颤动现象就会自然而然的增加了,到最后会逐渐的消失,建议是可以给宝宝适当的补钙的,要多留意护理。
婴儿脸上小白点像粉刺
回答:婴儿脸上出现小白点,类似粉刺的症状,可能是由于室内空气干燥导致的过敏反应,或是体内代谢紊乱使毒素未排出,也可能是新生儿常见的皮肤症状密丘疹或皮脂腺代谢过多造成的。
针对这种症状,可在医生建议下使用杀菌止痒药膏治疗。
金银花水可以给婴儿洗脸吗
回答:金银花具有清热解毒功效,可用于治疗婴儿湿疹等皮肤病。
在不过敏的情况下,金银花水可适当用于婴儿洗脸,但需注意水温适宜且不频繁,以避免刺激婴儿皮肤。
若婴儿皮肤健康,无需使用金银花水洗脸,清水即可。
使用前需确认宝宝对金银花无过敏反应,避免不良后果。
婴儿舌头短怎么判断
回答:婴儿舌头短可能是舌系带短缩,表现为舌头无法完全伸出或舌尖凹陷。
可通过观察婴儿发音和舌头运动情况判断。
先天性舌系带短需尽早检查并手术矫正,家长可协助婴儿进行舌头运动训练。
手术简单有效,可在门诊进行。
婴儿头出汗,身上没有,是热吗?
回答:婴儿头部出汗而身上不出汗不一定表示婴儿感到热。
由于婴儿神经系统和汗腺发育不完全,头部是主要的散热部位。
剧烈活动或进食后,宝宝可能会通过头部出汗来调节体温,入睡时的出汗也是正常的生理性反应。
判断宝宝衣物是否合适应摸后背,根据后背温度调整衣物。
婴儿头部出汗可能是正常的生理反应,与散热有关,不必过度担忧,关键在于合理调整婴儿的生活环境及衣物。
婴儿肥和脸胖的区别
回答:婴儿肥与脸胖有不同特点:婴儿肥即娃娃脸,呈现出较为圆润的外观;
而脸胖则是由于脂肪堆积导致的外观臃肿,影响形象,可能与饮食、久坐、遗传有关。
为改善脸胖,可选择射频溶脂术,这是一种非侵入式方法,无需开刀,预后良好,不影响生活。
为什么会有脑瘫婴儿
回答:脑瘫婴儿主要是由于胎儿在母体内的时候,大脑发育不良所造成的,这与父母的生活习惯有很大的关系,如父母有吸毒史,母亲在怀孕期间受到高度感染,或者吸毒、辐射等有害物质,都可以导致脑瘫,还有一些早产儿,也可能出现脑瘫。
婴儿脐炎是怎么引起的
回答:脐炎是新生儿时期常见的一种疾病,通常是由于细菌侵袭脐部导致脐带残端感染而导致,常见的一员包括新生儿分娩时断脐不当、分娩过程中羊水污染肚脐、肚脐部位未及时清洁消毒等。
如果有脐炎的症状,应及时带孩子去医院新生儿科或儿科就诊。
婴儿出生时候7斤2两,求一份婴儿成长体重身高标准表
回答:考虑为缺钙的的可能,有时表现为疼痛、出虚汗或抽痉的情况,可以做血钙检查帮助诊断,可以服用钙片如盖中盖效果较好,多吃含钙质高的食物,如鱼类、骨头汤等。
注意休息及营养。
同时应解除各种不良的心理刺激。
注意少生气,保持情绪稳定、活泼开朗的心情。
婴儿气管有痰怎么办?
回答:考虑为支气管炎,表现为咳嗽、咳痰、有时会有喘息、发热的情况,可以采用消炎药进行对症治疗,同时服用复方常规药物液进行治疗效果较好,多喝开水,注意保暖有利于症状的好转。
同时免饮食辛辣刺激性食物以及吸烟、饮酒,避免剧烈的运动。
纹眉敷了麻药能给婴儿喂奶吗
回答:纹眉过程中使用麻药后,为了确保母乳安全,建议新妈妈多饮温热白开水。
纹眉技术旨在改善眉毛稀疏或短缺,通过金属或植物材料刺激皮肤,实现眉毛浓密度的增加,提升美观效果。
但这一过程伴随疼痛,敷用麻药是必要措施。
出于对婴儿健康的考虑,纹眉后应避免立即喂奶,以防麻药成分可能对婴儿产生不利影响。
婴儿腿抖动正常吗
回答:考量是由于神经系统的生长发育尚不改进,压制肌肉的功能还不健全,所以是会再次出现不无限制的,颤动是属于一种正常的身理现象,是绝不会影响到宝宝的智力生长发育,随着年龄的增涨,大脑生长发育不断的改进之后颤动现象就会自然而然的增加了,到最后会逐渐的消失,建议是可以给宝宝适当的补钙的,要多留意护理。
婴儿脱肛怎么办?
回答:脱肛的情况还是比较严重的,建议是需要有去医院内科给孩子做个详细的仔细检查,特殊情况下是需要有实施手术救治的,平时应当多加留意些,尽量的是不要把屎把尿,否则是对孩子的肛门的干扰是比较大的,平时的时候也应当多加留意好局部的卫生和灭菌情况。
怎么判断婴儿脐疝呢
回答:脐疝是指腹腔内容物由脐部薄弱区突出的腹外疝。
脐部缺少脂肪组织,使腹壁最外层的皮肤、筋膜与腹膜直接连在一起,成为全部腹壁最薄弱的部位,腹腔内容物容易从此部位突出形成脐疝。
如果难以判断的话,可以去医院检查一下腹部彩超明确。
婴儿轻微脑震荡怎么判断
回答:脑震荡是临床上最轻微的颅脑损伤之一,婴儿轻微脑震荡后,建议先到医院进行CT或磁共振成像检查,往往无明显的影像学异常。
但是患儿往往出现头晕、头痛、恶心、呕吐、哭闹不止,还会出现短暂的意识丧失,意识丧失的时间持续约数秒到半小时不等。
患儿醒后无法回忆受伤当时的整个过程,临床上称为逆行性遗忘,当然婴儿也无法口述以上情况进行交流。
患儿轻微脑震荡往住存在进食差、进食后呕吐、精神状态萎靡、对平时感兴趣的人或物提不起精神和兴趣等。
对于轻微脑震荡患儿的治疗主要是休息和对症治疗,患儿一定要严格的卧床休息,有条件的情况下可以给予吸氧的治疗,帮助缓解症状。
婴儿吃什么可以通便润肠
回答:可以吃香蕉、苹果、燕麦、菠菜和红薯等,详情如下:1.香蕉:富含钾和纤维,可以促进肠道蠕动,增加排便频率。
2.苹果:含有丰富的纤维素和天然果胶,有助于增加肠道蠕动,促进排便。
3.燕麦:富含可溶性纤维,可以吸收水分并增加肠道蠕动,缓解便秘。
4.菠菜:含有丰富的纤维和水分,有助于软化大便,促进排便顺畅。
5.红薯:富含膳食纤维和维生素,有助于增加肠道蠕动,缓解便秘问题。
需要注意的是,婴儿的消化系统尚未完全发育,所以在添加新食物时应逐渐引入,观察婴儿的反应。
另外,为了保持肠道健康,婴儿还应保持充足的水分摄入,并建立良好的排便习惯。
如果便秘问题持续存在或加重,建议及时咨询医生。
婴儿脊柱侧弯怎么按摩
回答:脊柱侧弯分为先天性和后天形成的,而婴儿的脊柱侧弯大多数都是先天的,这时需要看一下脊柱侧弯的程度,一般情况下,先天侧弯大多数程度相对要比较严重一点,需要做的治疗是要看侧弯的方向,大多数向对侧比如说向左侧弯的情况下,左侧的肌肉会比较紧,但右侧会产生不舒服的症状,但治疗的时候,按摩时候分为两大部分:第一需要僵紧的肌肉进行放松,如果是向左侧比向右侧弯的话,需要将右侧的肌肉先进行放松,放松之后最好达到右侧的肌肉比较松软,有弹性,这是比较好的方法。
早期因为病人没有出现明显的脊柱僵硬,活动受限甚至驼背明显,所以要多鼓励病人,平卧,休息,可以行脊柱的牵引按摩治疗,主要是从脊椎的下侧向颈椎方面进行按摩。
如果是由于有椎间盘突出引起的脊柱疼痛,这种情况通过按摩可以有效地缓解疼痛,按摩可以加速局部血液循环,使产生的代谢物及时带走,起到缓解疼痛作用。
婴儿胃食管反流病的症状
回答:胃食管反流普遍病症::指胸骨后和剑突下烧灼感,多在餐后一小时出现,平卧、弯腰或腹压增高时易出现,反酸常伴胃灼热,有重要食管炎或食管溃疡时可出现吞咽疼痛,重要时可为激烈刺痛,向背、腰、肩、颈部放射,酷似心绞痛。
还须要在饮食方面多吃一些养胃、以及流质性的食品为主,能有好处病情的缓解。
一个月婴儿吐口水泡泡是怎么回事
回答:考量孩子的嘴里是不是有疱疹,或者是宝宝最近吃了许多比较咸比较刺激性的食物,这种情况的话,也是会通过乳汁影响到宝宝的,您可以适当的给孩子喝许多温开水,然后最好仔细观察几下孩子的嘴里面可有异物,一般只有孩子们没持续性哭啼的现象,问题都不大,用不着太过忧心。
婴儿胆总管囊肿严重吗
回答:胆总管囊肿主要是由于先天性的胆管发育异常造成,并且患者的胆总管囊肿可能会并发胆总管结石、胆总管炎症,甚至是胆管肿瘤、肝硬化等一些严重的并发症,这些疾病对患者的危害是比较大的。
目前对于胆总管囊肿唯一有效的治疗办法便是进行手术治疗,而药物治疗或者是其它的治疗办法,对于胆总管囊肿一般没有太大的效果,并且患者越早治疗效果越好,有很多患者早期发现早期治疗,还可以达到治愈的目的。











